Voor en na een ooglidcorrectie

Wallen onder de ogen geven vaak een uitdrukking van vermoeidheid. Behalve dat je jezelf eraan ergert in de spiegel is het ook zo dat er opmerkingen over gemaakt worden door derden als "heb je slecht geslapen?" of "ben je zo moe?" Als dit vaak gevraagd wordt ga je jezelf afvragen wat je er aan kan (laten) doen. Een ooglidcorrectie is dan een mogelijke oplossing. 

Boven- en onderooglidcorrectie (dermatochalasis)

Voor boven- en onderooglidcorrectie (dermatochalasis)
Voor boven- en onderooglidcorrectie (dermatochalasis)

 

Na boven- en onderooglidcorrectie (dermatochalasis)
Na boven- en onderooglidcorrectie (dermatochalasis)

 

Directe wenkbrauwlift

Voor de bovenooglidcorrectie
Voor directe wenkbrauwlift

 

Na de bovenooglidcorrectie
Na directe wenkbrauwlift

 

Correctie van wallen

voor ooglidcorrectie
Voor de ooglidcorrectie
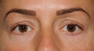
Jonge vrouw met vermoeide uitstraling door wallen onder de ogen.

 

voor ooglidcorrectie
Voor de onderooglidcorrectie
 

 

na ooglidcorrectie
Na de ooglidcorrectie 
Betere vulling van de oogkasrand waardoor er minder wallen onder de ogen zijn.

 

na ooglidcorrectie
Na de ooglidcorrectie
Er is een fraaie vulling van de overgang onderooglid naar wang waardoor wallen vrijwel verdwenen zijn.